Vol. 14, No. 4, Dec 2025

Published: 2025-12-11

Review

  • Microbiome Dysbiosis in Lichen Sclerosus: A Systematic Review

    Sydney K. Risman, Una Milovanovic, Derek S. Weimer, Tanya Ramadoss, Michelle L. Demory
    113-121
    DOI: https://doi.org/10.14740/jcgo1555

Original Article

Case Report

  • DOI: https://doi.org/10.14740/jcgo1532
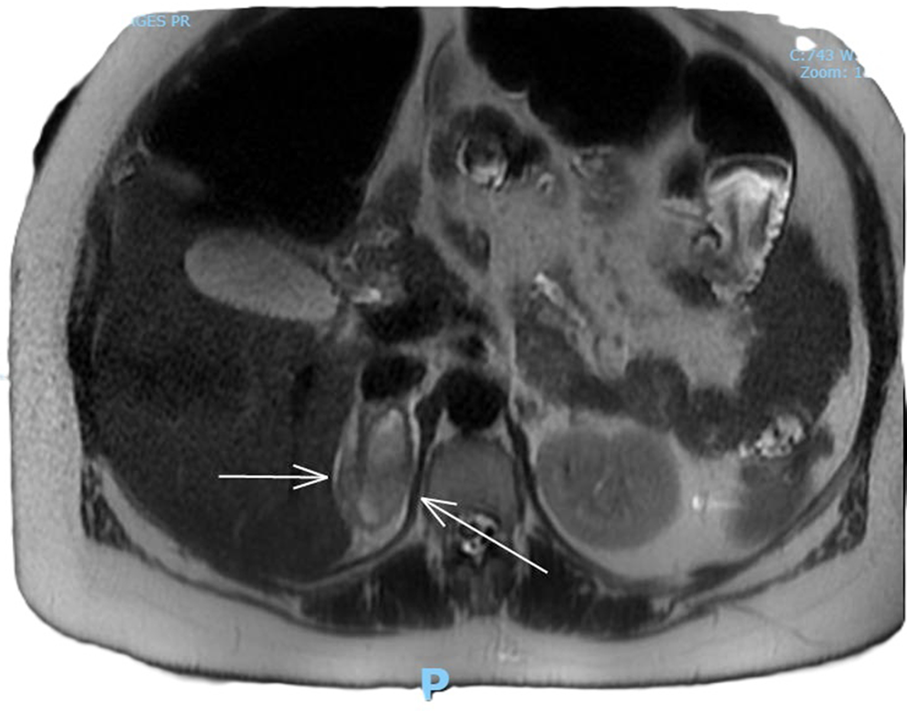
  • Spontaneous Adrenal Hemorrhage in Pregnancy

    Marvi Memon, Donald Wilson, Isioma Okolo, Amy Wang
    189-194
    DOI: https://doi.org/10.14740/jcgo1538
  • Spontaneous Hemoperitoneum in Advanced Maternal Age Pregnancy

    Elizabeth Stiles, Linda Zambrano Guevara, Andrew Rubenstein
    195-198
    DOI: https://doi.org/10.14740/jcgo1544